4142

A clinical study using T1-mapping and ECV and late gadolinium enhancement to detect early myocardium involoved in rheumatologic diseases
Ying Liu1, Ping Tian1, Jianmin Zheng1, and Minwen Zheng1
1Xijing Hospital, Xi'an, China

Synopsis

Keywords: Myocardium, Quantitative Imaging

Myocardial involvement is frequently observed in rheumatologic diseases but typically remains subclinical. This study aimed to detect early subclinical cardiac involvement and to investigate characteristics of myocardial involvement by cardiac MR (CMR) imaging. In 75 of 83 patients with rheumatologic diseases, elevated global native T1 and ECV values were observed. Furthermore, 51 patients showed positive segment distribution of late gadolinium enhancement, including subendocardial contrast, intramural contrast and transmural contrast. Thus, T1-mapping, ECV and late gadolinium enhancement could detect early myocardial involvement in rheumatologic diseases patients without overt LV dysfunction.

Objective: Rheumatologic diseases are autoimmune inflammatory disorders including rheumatoid arthritis (RA), systemic lupus erythematosus (SLE), antiphospholipid antibody syndrome (APAS), systemic sclerosis (SS), ankylosing spondylitis (AS) and others. Rheumatologic diseases can affect the myocardium, cardiac valves, pericardium, conduction system and arterial vasculature. Myocardial involvement is frequently observed in rheumatologic diseases but typically remains subclinical. These disorders may be due to a variety of mechanisms, including immune abnormalities, inflammation, small-vessel disease, accelerated atherosclerosis, and increased coagulability. Cardiac involvement may be clinically silent or explosively cause considerable morbidity and mortality. This study aimed to detect early subclinical cardiac involvement and to investigate characteristics of myocardial involvement by cardiac MR (CMR) imaging. Methods: From April 2014 to October 2022, a total of 83 patients with rheumatologic diseases performed CMR (Siemens 1.5T Aera) were enrolled in this retrospective study. CMR parameters, including left ventricular (LV) morphologic and functional parameters, and CMR tissue characterization imaging parameters, such as native T1, T2, extracellular volume (ECV) and late gadolinium enhancement, were analyzed. Results: In all 83 patients, there were 34cases with rheumatoid arthritis, 22 cases with systemic lupus erhythematosus, 11 cases with Systemic sclerosis, 7 cases with ankylosing spondylitis, 6 cases with antiphospholipid antibody syndrome and 4 cases with polymyositis. In 75 of 83 patients with Rheumatologic diseases, elevated global native T1 and ECV values were observed. Global ECV values were higher in the 75 patients group when compared with the left 8 patients group (35.62 ± 2.43% vs 24.29 ± 3.90%; P <0.01). Furthermore, 51 patients showed positive segment distribution of late gadolinium enhancement, including subendocardial contrast, intramural contrast and transmural contrast. Most of myocardial LGE (53 of 78 segments)were intramural, patchy or linear, and distributed in the middle or basal segment of the left ventricle. Conclusion: T1-mapping, extracellular volume quantification and late gadolinium enhancement could detect early myocardial involvement in rheumatologic diseases patients without overt LV dysfunction, therefore, CMR was a valuable tool for the diagnosis of cardiac involvement in patients with rheumatologic diseases.

Acknowledgements

No acknowledgement found.

References

1.Multimodality Cardiac Imaging in Patients with Systemic Lupus Erythematosus. Khayata M, Wang TKM, Chan N, Alkharabsheh S, Verma BR, Oliveira GH, Klein AL, Littlejohn E, Xu B.Curr Probl Cardiol. 2021 Nov 12:101048. doi: 10.1016/j.cpcardiol.2021.101048. 2.Echocardiography in the Assessment of Patients with Rheumatologic Diseases. Al-Mohaissen MA, Chan KL.Curr Cardiol Rep. 2016 Aug;18(8):72. doi: 10.1007/s11886-016-0757-2. 3.Imaging for screening cardiovascular involvement in patients with systemic rheumatologic diseases: more questions than answers. Sade LE, Akdogan A.Eur Heart J Cardiovasc Imaging. 2019 Sep 1;20(9):967-978. doi: 10.1093/ehjci/jez171.

Figures

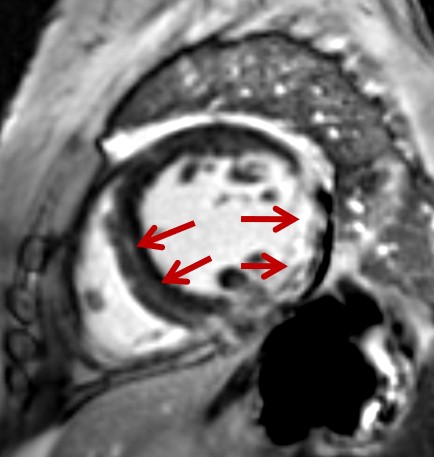
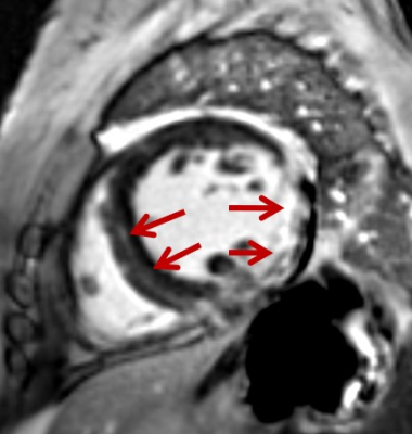
A 47-year-old woman with polymyositis. Late gadolinium enhancement image showed intramural contrast in ventricular septum and transmural contrast in lateral wall of the left ventricle.

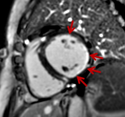
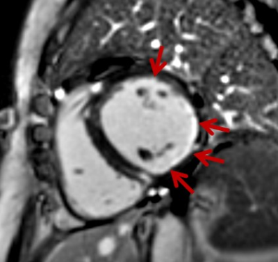
A 56-year-old woman with systemic lupus erhythematosus. Late gadolinium enhancement image showed endocardial contrast in in lateral wall and posterior wall of the left ventricle.

Proc. Intl. Soc. Mag. Reson. Med. 31 (2023)
4142
DOI: https://doi.org/10.58530/2023/4142