0869

Accelerated Simultaneous Multislice Imaging via Linear Phase Modulated Extended Field of View (SMILE)
Shen Zhao1, Junyu Wang1, and Michael Salerno1
1Cardiovascular Medicine, Stanford University, Stanford, CA, United States

Synopsis

Keywords: Image Reconstruction, Image Reconstruction, SMS

Slice leakage is a significant issue in simultaneous multislice (SMS) imaging. In this work, we extend POMP and develop a new efficient accelerated SMS acquisition technique: Simultaneous Multislice Imaging via Linear phase modulated Extended field of view (SMILE). SMILE transforms the SMS problem into a 2D imaging task and enables direct implementation of 2D non-SMS-only reconstruction algorithms. SMILE increases the sampling degree of freedom by a factor of the number of slices and could theoretically avoid the significant "slice-leakage" issue.

Introduction

Various simultaneous multislice (SMS) acquisition and reconstruction techniques have been proposed to improve acquisition efficiency in combination with parallel imaging, including POMP[1], SMS (w/o phase modulation), and CAIPIRINHA[2]. Several reconstruction algorithms have been developed to improve the image quality, including SENSE-GRAPPA[3], Slice-GRAPPA (SG)[4], Split Slice-GRAPPA (SPSG)[5], and ROCK-SPIRiT (RS)[6]. In this work, we extend POMP and develop a new efficient accelerated SMS acquisition technique: Simultaneous Multislice Imaging via Linear phase modulated Extended field of view (SMILE). SMILE transforms the SMS problem into a 2D imaging task and enables direct implementation of 2D non-SMS-only reconstruction algorithms. SMILE increases the sampling degree of freedom by a factor of the number of slices and could theoretically avoid the significant "slice-leakage" issue. We validate the performance via a retrospective downsampled CINE experiment and six prospective in-vivo perfusion experiments.

Theory

Conventional accelerated SMS acquisitions are sampling the superimposed k-space from multiple slices with or without modulation, such as SMS (w/o phase modulation) and CAIPIRINHA. However, this limits the sampling degree of freedom such that even without in-plane acceleration, a direct inverse Fourier transform cannot disentangle the images. We can formulate SMS (w/o phase modulation) or CAIPIRINHA acquisitions of multislice as a linear system $$ D\sum_{slice} \phi_{slice}FI_{slice} = K_{ob},$$ where $$$D$$$ is downsampling, $$$\sum_{slice}$$$ denotes superimposition of multiple slices, $$$\phi_{slice}$$$ is the phase modulation, $$$F$$$ is Fourier transform, $$$I_{slice}$$$ denotes multi-coil slice images, $$$K_{ob}$$$ denotes observed k-space. Notice that the linear operator $$$\sum_{slice}\phi_{slice}F$$$ has #slices fewer rows than columns, leading to information loss.

Interestingly, the earliest POMP technique was not restricted to parallel imaging. It was proposed to superimpose multiple slices without overlapping and enable the "fully sampled" k-space. In contrast to SMS (w/o phase modulation) or CAIPIRINHA, we extend POMP and formulate SMILE as
$$ D\sum_{slice} \phi_{slice}FEI_{slice} = K_{ob},$$ where $$$E$$$ is the extending field of view such that FOV can contain multiple slices without overlapping on important regions of interest. If we extend FOV along $$$y$$$ direction by #slices, then the combined linear operation $$$\sum_{slice}\phi_{slice}FE$$$ is a non-singular square matrix without information loss.

Consequently, with the same amount of measurements, we could design a desired sampling pattern D with a much larger degree of freedom compared to SMS (w/o phase modulation) or CAIPIRINHA. Figure 1 takes three slices as an example and illustrates the general strategy of SMILE. The red k-space lines are the same phase encoding lines shared by SMS (w/o phase modulation), CAIPIRINHA, and SMILE. However, SMS (w/o phase modulation) and CAIPIRINHA will only be able to sample 1/#slices of all phase encodings lines in either extended 2D or 3D view-angle (i.e., the k-space lines in the column of sampleable k-space). In contrast, SMILE can sample in the k-space of the entire extended 2D k-space, bringing multiple benefits: 1. SMILE does not necessarily need separate calibration data. 2. SMILE allows a net acceleration rate independent of the #slices, and can even be lower than the #slices. 3. SMILE transforms "slice-leakage" into a de-aliasing problem and theoretically enables slice-leakage-free reconstruction.

Methods

For the retrospective experiment, we modulated and sampled one 3T OCMR CINE dataset[7] using CAIPIRINHA, and SMILE with multi-band factor MB=3. For all acquisitions, the net acceleration rate is R=9 (In-plane acceleration rate times MB), and the non-uniform in-plane sampling pattern is CAVA[8]. For a fair comparison, we perform a per-frame reconstruction, utilizing parallel imaging only without additional regularization. SG and SPSG accept uniform downsampling only and are followed by in-plane GRAPPA. We adopt HICU[9] as the reconstruction algorithm for SMILE. For the in-vivo study, we implemented SMILE for perfusion scanning on six patients, with multi-band factor MB=3, acceleration rate R=8, in-plane resolution 1.5x1.5 mm, with 2 or 3 saturation blocks to achieve 6 or 9 slices of coverage. The sampling pattern was CAVA, and the reconstruction algorithm was HICU. Images were graded by a cardiologist on a 5-point scale (5-best, 1-worst).

Results

Figure 2 shows that using parallel imaging only, at a relatively high acceleration rate R=9, SMILE acquisition enables higher reconstruction SNR than CAIPIRINHA with much less perceptual slice leakage.

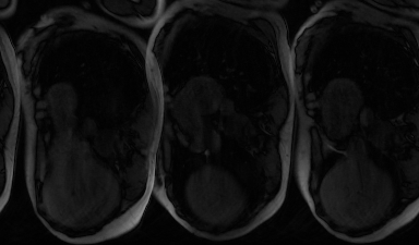
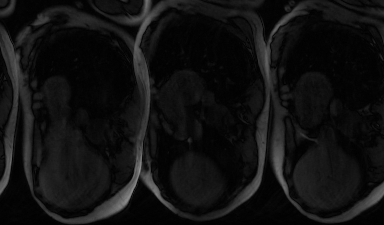
Figures 3 and 4 show the HICU reconstruction result (Animated GIF) for (slices 1, 3, 5) and (slices 2, 4, 6) of six slices from one of the perfusion datasets.

Figure 5 validates that reconstruction results have good temporal fidelity versus SENSE reconstruction for the same patient (Figures 3 and 4) in the selected ROIs.

For all six in-vivo perfusion datasets, the average image quality score was 4.6$$$\pm$$$0.5.

Conclusion

In this work, we propose SMILE as a general accelerated SMS technique that provides much larger degrees of acquisition freedom with potentially broad applicability in MRI, enabling reconstruction theoretically free of slice-leakage. SMILE+HICU demonstrates high image quality even at high total acceleration factors.

Acknowledgements

No acknowledgement found.

References

  1. Glover, Gary H. "Phase‐offset multiplanar (POMP) volume imaging: a new technique." Journal of Magnetic Resonance Imaging 1.4 (1991): 457-461.
  2. Breuer, Felix A., et al. "Controlled aliasing in parallel imaging results in higher acceleration (CAIPIRINHA) for multislice imaging." Magnetic Resonance in Medicine: An Official Journal of the International Society for Magnetic Resonance in Medicine 53.3 (2005): 684-691.
  3. Blaimer, Martin, et al. "Accelerated volumetric MRI with a SENSE/GRAPPA combination." Journal of Magnetic Resonance Imaging: An Official Journal of the International Society for Magnetic Resonance in Medicine 24.2 (2006): 444-450.
  4. Setsompop, Kawin, et al. "Blipped‐controlled aliasing in parallel imaging for simultaneous multislice echo planar imaging with reduced g‐factor penalty." Magnetic resonance in medicine 67.5 (2012): 1210-1224.
  5. Cauley, Stephen F., et al. "Interslice leakage artifact reduction technique for simultaneous multislice acquisitions." Magnetic resonance in medicine 72.1 (2014): 93-102.
  6. Demirel, Omer Burak, et al. "Improved simultaneous multislice cardiac MRI using readout concatenated k‐space SPIRiT (ROCK‐SPIRiT)." Magnetic resonance in medicine 85.6 (2021): 3036-3048.
  7. Chen, Chong, et al. "OCMR (v1. 0)--Open-Access Multi-Coil k-Space Dataset for Cardiovascular Magnetic Resonance Imaging." arXiv preprint arXiv:2008.03410 (2020).
  8. Rich, Adam, et al. "CArtesian sampling with Variable density and Adjustable temporal resolution (CAVA)." Magnetic resonance in medicine 83.6 (2020): 2015-2025.
  9. Zhao, Shen, Lee C. Potter, and Rizwan Ahmad. "High‐dimensional fast convolutional framework (HICU) for calibrationless MRI." Magnetic Resonance in Medicine 86.3 (2021): 1212-1225.

Figures

Figure 1 Illustration of SMILE and its connection to existing multislice techniques (SMS (w/o phase modulation) and CAIPIRINHA) in two equivalent view-angles: Extended 2D and 3D. The red k-space lines are the same phase encoding lines shared by SMS (w/o phase modulation), CAIPIRINHA, and SMILE. SMILE allows sampling in the entire Extended 2D k-space. However, SMS (w/o phase modulation) and CAIPIRINHA can at most only sample 1/#slices of all phase encodings lines in either extended 2D or 3D view-angle. (i.e., the remained phase encoding lines in the column of sampleable k-space).

Figure 2 Reconstruction results comparison. R=9, MB=3, 3T CINE dataset. Different combinations: CAIPIRINHA or SMILE, Uniform or CAVA nonuniform sampling, and different reconstruction algorithm. The reconstruction SNR are: CAIPI + Uni +SG, 16.0283 dB; CAIPI+Uni+SPSG, 13.4973 dB; CAIPI+Uni+RS, 9.9739 dB; CAIPI+CAVA+RS, 13.2716 dB; and SMILE+CAVA+HICU, 17.7667 dB. The right side is 2.04 x absolute error map.

Figure 3 (Animated GIF) Slice 1 3 5 out of 6-slices SMILE in-vivo perfusion, acceleration rate R=8, MB = 3.

Figure 4 (Animated GIF) Slice 2 4 6 out of 6-slices SMILE in-vivo perfusion, acceleration rate R=8, MB = 3.

Figure 5 Temporal fidelity of HICU versus SENSE reconstruction for all 6 slices from one R=8, MB = 3 SMILE in vivo perfusion scanning. The slightly lower signal intensity before the contrast agent of HICU compared to SENSE is due to the similar high noise level of SENSE reconstruction for all frames, and very low signal intensity for the first 15 frames. The rationale is: for complex Gaussian noise $$$n$$$, the distribution of noisy signal intensity $$$\|x+n\|$$$ is approaching Chi distribution instead of Rician distribution as the signal intensity $$$\|x\|$$$ decreases.

Proc. Intl. Soc. Mag. Reson. Med. 31 (2023)
0869
DOI: https://doi.org/10.58530/2023/0869